※ 한국 공식 수입판매원:(주)에스에스오티코리아 TEL:02-3454-0704 <상담 접수시간:월~금요일 9:30~17:00>
  • 코디 사용사례
    개의 유선종양에 코디를 사용한 사례
  • 코디 사용사례
    고양이의 복강 내 악성림프종이 사라진 사용사례
  • 코디 사용사례
    토끼의 림프종・흉선종을 부담을 주지 않고 조절한 사례
  • 코디에 대해
    코디의 안전성에 대한 노력
  • 코디에 대해
    코디 TV광고
  • 코디 사용사례
    개의 구강 내 악성흑색종을 장기간 컨트롤한 사용사례 PDF
  • 코디에 대해
    코디 소개영상 (채집・제조・안전성 등)
  • 코디 사용사례
    고양이의 비장종양에 코디를 사용하여 종양이 축소한 사용사례
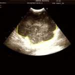
  • 코디 사용사례
    개의 방광암에 코디를 사용한 사례 (초음파 검사)
  • 코디 사용사례
    개의 갑상선암 폐전이의 사용사례
  • 코디 사용사례
    개의 구강 내 악성흑색종을 장기간 컨트롤한 사용사례
casereport
casereport

그린트라이프란?

그린트라이프란 양 및 사슴, 소 등의 반추동물(위를 4개 가진 되새김 동물)의 4번째 위장을 말합니다.

 

반추동물의 4번째 위는 사람의 위와 마찬가지로 소화기능이 있으며, 1~3번째 위에서 잘게 부서진 풀을 소화하는 곳이 바로 4번째 위입니다.
그린트라이프는 소화가 잘 되며, 반추동물이 먹은 음식의 영양소뿐만 아니라, 소화효소 및 아미노산, 유산균(프로바이오틱스), 필수지방산 등의 많은 영양소가 포함되어 있습니다.
또한 칼슘과 인이 밸런스 좋게 포함되어 있다고 불리우고 있습니다.

 

그리고 4번째 위는 영양소를 흡수하는 소장 직전에 위치한 장기입니다.
즉, 가장 소화・흡수에 뛰어난 영양소가 많이 위치한 부분이라고 할 수 있습니다.

 

그린트라이프의 장점

육식동물은 사냥감(초식동물)을 잡았을 때, 먹기 쉬운 배 부위부터 먹기 시작합니다.

 

복부에는 다양한 장기가 있으며, 특히 위에는 앞서 서술한대로 많은 영양소가 존재하기 때문에, 배 부위부터 먹음으로써 영양가가 높은 부위를 처음에 섭취할 수 있습니다.

 

아무리 육식동물일지라도 고기만으로는 영양밸런스가 무너져버리므로, 사냥감(초식동물)이 소화해 준 많은 영양소를 포함한 위를 섭취함으로써「편중되기 쉬운 영양밸런스를 유지=건강한 식생활」을 보낼 수 있는 것입니다.

 

그 밖의 장점으로는
・식욕증진
・칼슘:인=1:1⇒튼튼한 뼈와 관절 형성에 도움
・털의 윤기 개선・유산균에 의한 소화흡수능력 상승
이 있습니다.

 

그렇다면,
현대의 개와 고양이의 경우, 매일의 식사로 사료를 먹는 아이가 많기 때문에 영양가가 편중되기 쉽습니다.
또한 사료는 소화하기 어려우므로 소화기관에 주게 될 부담도 우려됩니다.
그린트라이프는 소화액 및 소화효소를 포함하기 때문에 개와 고양이의 소화를 돕고, 유산균(프로바이오틱스)에 의해 장내 환경이 정돈되어서 영양소의 효율적인 흡수를 기대할 수 있습니다.

 

그린트라이프의 단점

많은 영양소를 포함하는 우수한 재료인「그린트라이프」.
하지만 단점을 소개하자면 바로「냄새」입니다.

 

그린트라이프는 반추동물의 4번째 위장.

 

반추동물의 냄새…여러분도 아실 것입니다. 목장의 냄새가 납니다. 아니, 목장 이상의 강렬한 냄새가 납니다.

 

하지만 개와 고양이에게는 큰 문제가 아닌 것인지, 기호성은 매우 높은 편입니다.
하지만 반려주가「냄새」때문에 견딜 수 없어서 포기한다…라는 경우가 많이 있습니다.

 

아이에게 먹이는 편이 좋기 때문에 냄새를 참고 먹이시는 반려주들이 많다고 생각됩니다.

 

프리즈드라이(동결 건조) 그린트라이프

이 냄새를 경감시켜 주는 것이 K9Natural사의「프리즈드라이 그린트라이프」입니다.
프리즈드라이란 식품 등을 마이너스30도에서 급속냉동한 후에 감압하여 진공상태를 유지한 채로 수분만을 제거하여 건조시키는 것입니다.
열을 가하지 않기 때문에 소화효소 및 비타민 등이 파괴되지 않는 장점과 함께, 수분이 적기 때문에 장기간 보존할 수 있습니다.
손으로 간단하게 으깰 수 있으므로 후리카케(맛가루)처럼 이용할 수도 있으며, 미온수를 부어서 원래대로 되돌릴 수도 있습니다.
통조림의 냄새를 견딜 수 없는 반려주가 사용하기 쉬운 제품이라고 생각됩니다.

 

많은 영양소가 들어있는 그린트라이프.
단백질도 많이 포함되어 있으므로 음식을 많이 먹을 수 없는 아이의 영양보충에도 도움이 되는 성분입니다.
부디 한 번 그린트라이프를 식사에 추가하여 보시는 것은 어떠세요?

뉴스・칼럼の関連記事
  • EPA와 DHA
  • 그린트라이프(Green Tripe)의 유용성
  • 장을 건강하게!~면역력은 장을 통해~
  • 여름을 보내는 방법

이 기사가 마음에 든다면
팔로우

최신 정보를 보내드립니다

추천 기사
코디 사용사례
개의 폐종양에 코디를 사용한 사례 코디는 치료목적으로 제조된 의약품이 아닙니다. 애완동물의 건강유지에 도움이 되시기 바랍니다....
코디 사용사례
혈관내피세포에서 유래한 종양에 코디를 사용한 사례 코디는 치료목적으로 제조된 의약품이 아닙니다. 애완동물의 건강유지에 도움이 ...