개의 악성림프종에 코디를 사용한 사례
코디는 치료목적으로 제조된 의약품이 아닙니다.
애완동물의 건강유지에 도움이 되시기 바랍니다.
애완동물의 건강유지에 도움이 되시기 바랍니다.
정보제공:다카스노오카동물진료소
【악성림프종:코디M, 오존요법, 항암제를 병용】
견종:요크셔테리어
성별:수컷
연령:2005년 7월 10일
2016년 5월 2일
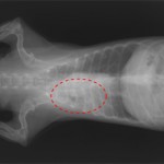
체표림프절이 비대되었고 복부에 내출혈이 있었기 때문에 내원. 5일후에 좌측 슬와(膝窩)림프절을 적출하였으며 병리검사에서 악성림프종으로 진단되었다.
가끔 호흡이 거칠어지는 증상때문에 5월 14일부터 코디M 복용과 오존 주장법(주 1회), 스테로이드의 격일 투여를 시작하였다.
7월에 비장의 비대가 확인되었기 때문에 위의 치료와 함께 항암제도 몇 차레 투여하였다.
2016년 12월 10일
원기・식욕 모두 문제가 없다고 한다. 반려주도 QOL이 유지되는 것에 기뻐하였다.
병원으로부터는 코디M과 오존요법, 서양의학 각각의 장점이 발휘된 결과, 원기・식욕을 유지하며 건강하게 지낼 수 있었다는 코멘트를 받았다.
【저희의 한마디】
항암제는 강한 부작용을 동반하는 약이기 때문에, 부작용에 의해 목숨을 잃는 경우도 있습니다.
코디와 오존요법을 병용함으로써 항암제의 부작용을 막을 수 있었으며, QOL을 유지할 수 있었다고 생각됩니다.
코디의 복용에 관해 궁금하신 점이 있으시면 언제든지 연락을 부탁드립니다.
코디의 문의・주문은 여기









