수의사도 극찬! 개와 고양이에게도 프라센타
![こんな時に[コルディプラス]プラセンタをお勧めします](https://korea.cordy.monolith-japan.com/wp-content/uploads/2018/04/placenta40kor.jpg)
간기능 저하, 상처회복이 더디거나 약을 오래 복용중인 경우
프라센타는 기원전부터 기미・주름 예방 및 보습 유지, 조직회복 등의 미용, 대사를 활발히 함으로써 장기 및 세포복원, 알레르기 및 피부질환의 개선 등을 위해 널리 사용되어 왔습니다.
최근에는 개와 고양이에게도 프라센타를 사용하는 분들이 늘어나고 있으며, 간기능이 나쁘거나 저하된 아이, 간수치가 높은 아이, 피부질환・심한 상처가 있는 아이, 털의 윤기가 나쁜 아이 및 원기・식욕이 없는 아이의 서포트 및 안티에이징 등에 추천되고 있습니다.
하지만 세상에는 수많은 프라센타 제품이 판매되고 있으며, 품질도 제각기 달라서 어떤 제품을 선택해야 좋은지 모르겠다는 분들도 많으리라 생각됩니다.
저희는 ALT(GPT) 및 AST(GOT), ALP 및 TBIL(총빌리루빈)이 높고 간기능이 나쁘거나, 심한 상처・상처회복이 더디거나, 약을 장기간 복용중이거나, 힘이 없고 아토피 및 피부병이 있거나, 털의 윤기가 나쁘거나, 영양실조, 원기・식욕이 없거나 안티에이징 등을 생각중이다… 등의 수많은 상담을 받고 있습니다.
![高品質・高容量のプラセンタ。[コルディプラス]プラセンタ](https://korea.cordy.monolith-japan.com/wp-content/uploads/2018/04/placenta411kor.gif)
그래서 평소 개와 고양이 등의 소중한 가족인 애완동물에게 코디를 애용해주시는 여러분께 저희가 엄선한 프라센타 제품을 안내해드리겠습니다.
안심・안전을 고집하며 부형제・첨가제 및 방부제 등을 사용하지 않는 분말 타입의 제품을 만들었습니다.
「프라센타12000」은 개와 고양이 등의 애완동물에게 추천드리는 프라센타입니다.
(※ 사람이 섭취하여도 괜찮습니다. 저희 직원들도 섭취하고 있습니다.)
「코디M, 코디G, 코디플로라」와의 궁합도 매우 좋습니다.
한 봉지에 일본산 SPF 돼지 프라센타 추출물 분말이 12000mg씩이나 들어있는데 가격을 7000엔(세금 포함)으로 낮추어서 20~40kg의 대형견이라도 한 봉지로 1~2달간 이용하실 수 있으므로 매우 경제적입니다.
소중한 가족인 애완동물의 매일의 건강을 위해「프라센타12000」을 추천드립니다.




프라센타12000의 풍미, 냄새, 기호성(嗜好性)
- 맛은 굴 추출물이 함유되어있기 때문에 굴을 농축한 듯한 맛이었습니다.
- 냄새는 해산물의 국물의 냄새와 비슷하다고 생각됩니다.
- 개와 고양이의 기호성은 높은 편입니다.
이상 저희 직원들의 감상입니다. 구매 시 참고하여 주시기 바랍니다.
간기능이 좋지 않은 아이 사용사례
프라센타는 간기능이 좋지 않은 아이의 건강 서포트로 추천드립니다.
간은 침묵의 장기로 불리우고 있습니다. 눈에 띄는 증상이 없어도 왠지 모르게 기력이 없어지거나 지친 듯이 보일 때는 간기능이 저하되어 있을지도 모릅니다.
또한 스테로이드, 항생제, 항암제, 기타 대부분의 약은 간기능을 약화시킵니다.
최근에 원기・식욕이 없어지거나 병치료를 위해 약을 복용 중이거나 혈액검사에서 간수치가 나쁘다는 결과…
이러한 상담을 많이 받고 있습니다.
아래에서는 간기능이 나빴던 아이에게 프라센타를 복용한 사례를 소개해드리겠습니다.
간기능이 나쁜 아이 사용사례1
ALT(GTP) 상승 시에서의 간수치 개선사례
품종:토이푸들
연령・성별:14세, 수컷
질환명・증상:간수치 저하, 쓸개 적출(담낭슬러지)
자료제공:프라센타제약주식회사(일본태반임상연구회 제9회연구회 연구발표)
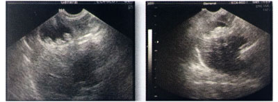
우연히 뢴트겐을 찍었을 때 담낭슬러지(담즙의 저류)가 발견된 사례이다. (사진1)

혈액검사에 의해 간효소치(ALT)의 상승(※간기능 저하)이 판명되었기에, 증상 확인을 위해 CT도 찍어(사진1좌하단), 이대로라면 파열의 위험성도 있다고 판단하여 쓸개 적출수술을 실시했다.
수술 후, 간효소치ALT(GTP)의 상승이 계속되어, 한 때는 하강하기도 했지만 다시 상승하였기에 프라센타를 식사에 혼합하여 하루 1회 0.5g의 투여를 시작했다.
그 결과, 투여시작 시의 간효소치는 300U/I였지만, 투여 3개월 후에는 70U/I으로 개선되었다. (아래 사진)

간기능이 나쁜 아이 사용사례2
ALT(GTP), 알칼리포스파타아제(ALP) 상승에서의 간기능 개선사례
품종:토이푸들
연령・성별:8세, 암컷
질환명・증상:간수치 저하, 담낭슬러지
자료제공:프라센타제약주식회사(일본태반임상연구회 제9회연구회 연구발표)
이 토이푸들은 이전에 자가면역성 용혈성 빈혈치료를 하였으며, 그 결과 간이 악화하여 황달 증상도 나타나기 시작하여 기력를 잃은 상태가 되었다.
그 당시의 혈액검사치(2011년 3월 11일)는 ALT(GTP)도 ALP(알칼리포스파타아제)도 큰 폭으로 기준치를 넘어 빌리루빈(TBIL)도 마찬가지로 좋지 않았다. (※간기능 악화)

초음파 검사를 통해 담석이 의심되어 수술도 고려했지만 담낭슬러지로 진단되었다.
진단 후에 프라센타를 식사에 혼합하여 하루 1회, 0.5g을 투여하기 시작했다.
이와 함께「스파칼(スパカール)」을 병용하였으나, 이것은 담즙의 배설을 촉진시키는 사람용 의약품으로 1정(40mg)을 4등분하여 하루 10mg을 이용했다.
치료시작 후 4일째의 혈액생화학검사치에서는 효과가 빠르게 나타났으며, 2개월 후에는 ALT, ALP, TBIL 의 모든 수치가 기준치까지 가라앉을 정도로 회복했다.
동시에 황달 증상은 사라졌고 털의 윤기도 상당히 좋아졌으며 활발하게 기력이 되찾았다.



간기능이 나쁜 아이 사용사례3
ALT(GTP) 상승에서 간수치 개선사례
품종:토이푸들
연령・성별:14세, 수컷
질환명・증상:간수치 저하, 쓸개결석(증)에 의한 담낭 적출
자료제공:프라센타제약주식회사
하루 1회 0.5g씩 프라센타을 식사에 섞어서 투여
2개월 후의 혈액검사에서 간효소치ALT(GPT)가 저하 (※간기능 개선)

간기능이 나쁜 아이 사용사례4
ALT(GTP) 상승에서 간수치 개선사례
품종:일본고양이(ニホンネコ)
연령・성별:16세, 수컷
질환명・증상:간기능 저하
자료제공:프라센타제약주식회사
하루 1회 0.5g씩 프라센타를 식사에 섞어서 투여
2개월 후의 혈액검사에서 간효소치ALT(GPT)가 저하 (※간기능 개선)

간기능이 나쁜 아이 사용사례5
ALT(GTP) 상승에서 간수치 개선사례
품종:미니어처 닥스훈트
연령・성별:12세, 수컷
질환명・증상:간종양, 간종대
자료제공:프라센타제약주식회사
하루 1회 0.5g씩 프라센타를 식사에 섞어서 투여
투여 16일 후의 혈액검사에서 간효소치ALT(GPT)가 저하 (※간기능 개선)

간기능이 나쁜 아이 사용사례6
GTP 및 ALP, TBIL(총빌리루빈), Glu(혈당) 수치 개선사례
품종:보더콜리
연령・성별:12세
질환명・증상:간암
자료제공:프라센타제약주식회사
수의사로부터 치료를 받아왔지만 간수치가 내려가지 않아서(간수치가 높고 간기능이 저하), 프라센타를 투여하기 시작했다.
프라센타 투여 1개월 후에 GTP 및 ALP, TBIL(총빌리루빈), Glu(혈당) 수치가 상당히 낮아졌다.

피부・심한 상처, 털의 윤기가 좋지 않은 아이 사용사례
심한 상처가 있거나 털의 윤기가 나쁜 아이, 피부트러블이 있는 아이에게도 프라센타를 추천드립니다.
수술 후 케어 및 털의 윤기가 나쁠 때, 피부 염증, 가려움, 알레르기, 피부질환 등에도 폭넓게 사용하실 수 있습니다.
아래에서는 피부가 나쁜 아이 및 알레르기가 있는 아이, 상처가 있는 아이 등에게 프라센타를 투여한 사례를 소개해드립니다.
피부・심한 상처, 털의 윤기가 나쁜 아이 사용사례7
비듬・탈모 및 털의 윤기 개선사례
품종:모르모트
자료제공:주인으로부터의 보고 (※개인 감상평입니다)
2016년 5월 21일
몸에 비듬같은 것이 발견, 항상 심하게 긁음 (체중800g)
진양약(가려움 치료약)을 외용 시작
7월 17일
긁힌 상처의 비듬 증가, 병원에서 내용약 투여, 식욕・대변 감소 (체중 700g)
매주 동물병원에서 진료를 받았지만 개선이 보이지 않음
11월 6일
긁는 도중에 거꾸로 뒤집혀버린다. 비듬 증가, 식욕・원기 감소
11월 20일
호흡이 거칠고 움직이지 않을 때가 많음, 뢴트겐 검사에서는 이상 없음
12월 2일
소동물전문병원을 소개받음
쇠약해짐, 호흡이 거칠음, 휘청거리며 보행

수의사로부터「이 정도로 나쁘다면 다른 합병증이 있으리라 생각되므로 천천히 상태를 보고 싶다」고 전해들음
염증내복약을 하루 1cc 투여 시작
12월 4일 ■프라센타 복용 시작
내복약 밤에 1회
프라센타 0.005g+코디0.005g을 매일 아침저녁에 투여
12월 6일 ■프라센타 복용 2일차
식욕・대변 증가, 원기 증가
12월 16일 병원 진단
곰팡이 우려 없음, 건강해졌기에 다음 진료는 1개월 후
걱정되는 점이 있다면 언제든지 내원해달라고 전해들음
진드기 구충약 투여
12월 20일
몸을 덮고 있던 딱지가 떨어지기 시작, 서서히 발모
2017년 1월 13일 ■프라센타 복용 40일차
상태 양호, 다음 진료는 1개월 후, 체중 960g, 식욕・대변・원기 증가, 털도 거의 모두 자라남
수의사로부터「회복이 매우 빠르다」고 전해들음

2월 20일 ■프라센타 복용 75일차
털이 수북해졌고 원기・식욕도 원래대로 돌아옴

![]()
피부・심한 상처, 털의 윤기가 나쁜 아이 사용사례8
피부 가려움, 탈모, 습진 개선사례
품종:토이푸들
연령・성별:6살, 수컷
질환명・증상:생후 3개월 쯤 입양했을 때부터 피부를 가려워함, 치료를 반복, 갑상선기능저하증으로 진단받음
진찰:양쪽에 탈모, 가려움, 습진
자료제공:프라센타제약주식회사
<처치>
정맥점적으로 타치온(タチオン) 10mg/k, 비타민C 50mg, 비탈파(ビタルファ)0.16ml/k
경구투여로 프라센타, 타우린50mg/k, 아연 1.6mg/k
탈모 부분에 털이 자라난 것을 알 수 있습니다.

피부・심한 상처, 털의 윤기가 나쁜 아이 사용사례9
피부 상태・모질・털에 탄성이 없음・피부의 거칠음 개선사례
품종:파피용
연령・성별:8살, 수컷
자료제공:중앙커널사업협동조합연합회 대표이사(회장) 우에무라 토오루 (※개인 감상평입니다)
피부 상태가 나쁘며 모질도 나쁘고 탄성이 없었기에 털관리를 의뢰받았지만 바리깡으로 짧게 잘러버려서 3개월 경과 후 사진(상단)과 같은 결과가 되었다. 피부도 거칠어져서 털이 가지런히 자라지 않았다. 호르몬 밸런스가 무너져버렸기 때문에 털이 고르지 않고 피부가 거칠어졌다고 생각된다.
프라센타를 매일 3개월 투여한 결과, 사진(하단)과 같이 피부가 좋아지고 털이 고르게 자라났다. 프라센타는 호르몬 밸런스를 정돈시키는 작용이 있기 때문에 모발과 피부가 개선되었다고 생각된다.
(뇌하수체 호르몬의 분비 밸런스가 개선되었다고 생각된다.)

피부・심한 상처, 털의 윤기가 나쁜 아이 사용사례10
상처 치유가 나쁜 개의 개선사례
품종:스탠다드 푸들
연령・성별:2살
정보제공:DOG SCHOOL YAMAOKA
일본경찰견협회공인훈련사・JKC공인훈련사 펫도그케어어드바이저/야마오카 하루코
(※개인 감상평입니다)
펫샾에 있었을 때보다 상처가 아물지 않고 악화되었기 때문에, 프라센타를 투여한 후 개선되어 감사의 편지를 전해받았습니다.
펫샾에 있었을 때 강아지들끼리 놀다가 물렸을 때 생긴 상처에 털이 들어가버렸다고 한다.
성장함에 따라 고름과 털이 생겨 상처가 아물지 않고 수술을 하여 이물질을 제거했을 터였다.

반년 후에는 같은 증상으로 상처가 아물지 않아서 2차 수술을 실시, 하지만 좋아지지 않았고 다른 병원에서 진료를 받았다.
그 때는 지난 수술에서 내부를 꿰맸던 때의 실이 원인이 되어 악화되고 있다고 전해듣고, 3차 수술은 바이러스에 감염된 피부를 제거하게되어 더 큰 상처가 생겨버렸다.
이후에 바로 외이염이 생겨 머리를 흔들거나 바닥에 문지르게 되어 점점 상처가 악화, 상처에 균이 들어가서 낫지 않는 상태가 약 1년간 계속되었다.
그 때 프라센타를 알게 되어 투여를 시작.
2주 정도는 특별한 변화가 없었지만 3주 쯤부터 상처에 고름 및 액체가 적어졌으며 상처가 아물기 시작했다.
그리고 상처도 깨끗하게 아물어 완치.
지금은 털도 예쁘게 자랐으며 외이염도 치유되었다.

피부 사용사례11
건조한 피부・피부염인 주인의 개선사례
애완견과 함께 프라센타를 복용하여 주인분의 피부질환이 개선된 사례입니다.
주인분으로부터 보고를 받았습니다. (※개인 감상평입니다)
프라센타를 사용하기 시작한 때는 약 3년전입니다.

애완견인 포포는 심신이 허약하여 여러차례 설사 및 구토, 만성적인 방광염으로 매달 동물병원에 다니고 있었습니다.
수의사의 소개로 프라센타를 시험해보기로 했습니다만, 저도 자율신경실조증 및 가루가 일 정도로 건조한 피부와 얼굴의 피부염으로 고민했었기에 포포와 함께 프라센타를 복용하기로 했습니다.
처음 반년 정도는 특별한 변화가 없었습니다만, 계속해서 복용하니 먼저 건조한 피부가 개선되었습니다.
유액 및 크림을 반복해서 발라도 버석거렸던 피부가 겨울에도 화장수만으로 촉촉해졌습니다.
포포의 몸상태도 점차 좋아졌으며 설사와 구토는 없어졌고 방광염도 근 1년간 발생하지 않았습니다.
2년 이상 앓고 있었던 피부염도 벌써 1년 이상 증상이 나타나지 않게 되었고, 상처도 전혀 알 수 없을 정도로 깨끗하게 나았습니다.
변화에 대한 체감도는 개인차도 있으리라 생각됩니다만, 기본적으로 복용 후 바로 개선되는 것은 아니라고 생각되며, 싼 가격도 아니기에 계속해서 복용하면서 불안도 있었습니다만 지금 생각하면…
저도 포포도 통원 횟수가 크게 줄어들었고, 내면에서 확실하게 변화되기에 피부도 자연스럽게 촉촉해져서 화장품도 잔뜩 구입할 필요가 없게 되어, 결과적으로 경제적이며 건강해졌다고 확신하고 있습니다.
앞으로도 애견과 함께 프라센타를 계속 사용하려고 합니다.

피부・심한 상처, 털의 윤기가 나쁜 아이 사용사례12
아토피・알레르기 피부염 개선사례
자료제공:주인으로부터의 보고 (※개인 감상평입니다)
털의 윤기가 나쁘고 원기가 없었던 아이가 프라센타를 복용한 사례입니다.

프라센타 복용 전
프라센타 복용 전에는 알레르기 및 쿠싱증후군 등 많은 증상을 앓고 있어서, 항상 꼬리를 말며 원기가 없고 쓸쓸한 상태로 하루종일 자고 있었습니다.
털이 빠져서 피부가 보이는 상태였고, 자주 넘어졌기에 산책도 주의가 필요했습니다.
프라센타 복용 후
프라센타를 복용한 후에는 몰라볼 정도로 건강해져서 풍성해졌으며, 건강하게 돌아다닐 수 있게 되었습니다.
얼굴에 자신감이 보였으며 쓸쓸한 표정도 없어졌습니다.
4살의 암컷 말티즈와 겉보기에 거의 다르지 않을 정도로 건강합니다.

![]()
프라센타12000은 아래에서 구매하실 수 있습니다.
한국 공식 수입판매원
급하신 분들은 전화로 연락하여 주시기 바랍니다. 빠르게 대응하도록 하겠습니다.
간의 주요 기능
개와 고양이, 애완동물, 그리고 우리 사람에게도 공통되는 것입니다만, 간은 체내에 들어온 독소를 분해하여 신체를 지키고 있습니다.
또한 간은 신체를 움직이기 위한 에너지를 만들거나 대부분의 영양소를 소화・흡수・대사・저장하는데 필수불가결한 작용을 하거나, 혈액의 주성분을 합성하거나… 매우 다양한 작용을 하고 있습니다.
그 때문에 간에 염증이 생기거나 어떠한 원인에 의해 간기능이 저하되면 신체가 조금씩 변화를 일으키게 됩니다.
간기능이 저하되어 장해가 나타나는 것을 간장병(肝臓病)이라고 합니다.
그러나 간은 예비능력, 재생능력이 매우 높은 장기이기 때문에 간세포 절반 이상(실제로는 4/5이상) 데미지를 받아도 증상이 나타나지 않는 경우도 있어서 모르는 사이에 간기능 저하, 간장병 악화가 진행되어서 깨달았을 때는 이미 늦어버렸다는 경우도 드물지 않습니다.
간이 <침묵의 장기>라고 불리우는 것을 들어보신 적이 있는 분들도 많으리라 생각됩니다.
초기증상으로는 간기능이 저하되어도 좀처럼 증상이 나타나지 않기 때문에, 개와 고양이가 간장병을 앓게 되어도 눈치채기 어렵습니다.
간은 다양한 병을 앓고 있거나 치료를 위해 의약품을 복용할 때에도 저하되는 경우가 있기 때문에, 혈액검사를 받았을 때에는 항상 주의를 기울이실 것을 추천드립니다.
개・고양이・애완동물의 간기능 저하 시에 나타나기 쉬운 증상
개와 고양이, 토끼, 페럿, 햄스터 등의 애완동물 (물론 사람도)의 간기능이 저하된 경우, 나타나기 쉬운 증상은 다음과 같습니다.
- 윈기와 식욕이 없다 (식욕부진)
- 권태감 및 허탈감
- 체중이 감소하기 시작했다
- 구토를 반복하게 되었다
- 설사 및 무른 변의 횟수가 많아졌다
- 소변 횟수가 늘었다
- 음수량이 갑자기 늘었다
- 잇몸 및 눈의 흰자가 노랗게 되었다 (황달)
- 복수저류(腹水貯留)
- 출혈 (변과 구토물, 치경 등)
- 경련, 혼수상태, 간성뇌증(肝性脳症)
하지만 위의 증상은 다른 병에서도 나타나는 경우가 있으므로 증상만으로 일률적으로 간이 나쁘다, 간기능이 저하되어있다, 간장병이라고 판단하는 것은 곤란합니다.
개와 고양이, 애완동물의 간에 이상이 있는지는 혈액검사수치를 통해 알 수 있으므로 이러한 증상이 보인다면 동물병원에서 검사를 받아보시는 것을 추천드립니다.
개와 고양이, 애완동물의 간기능이 악화되는 원인
간은 많은 화학물질 및 독소를 대사하기 때문에 항상 많은 화학물질 및 독소에 노출되어 있으면 간에 큰 부담을 줍니다.
식품에 포함되어 있는 납과 비소 등이 많거나, 살충제 및 벼룩 퇴치제품, 제충제 등의 농약이 체내에 들어오는 경우 등이 원인이 되어 간기능이 나빠지거나 간수치가 악화되는 경우가 많습니다.
개와 고양이, 토끼, 페럿, 햄스터 등 애완동물(물론 사람도)의 간기능이 저하되는 원인은 다음과 같습니다.
- 바이러스 및 세균, 기생충에 감염되었다
- 장기간 약을 복용하고 있다
- 무언가의 화학물질에 의한 영향
- 지방간
- 종양(암), 간암 및 전이암
- 사고 등에 의해 간손상이 있다
- 문맥체순환단락증(門脈体循環短絡症, 문맥 션트)
간기능을 알아보는 방법
개, 고양이, 애완동물의 간기능을 조사하기 위해서는 생화학검사(혈액검사)가 유용합니다. 상기의 증상이 있거나 간기능이 악화되는 원인이 걱정되는 경우도 물론이지만, 이외에도 어떠한 계기로 혈액검사를 받으실 경우 아래 항목의 이상이 있는지 여부를 확인하시는 것을 추천드립니다.
ALT(GTP)의 상승
기준치(참고):개21~102U/I 고양이6~83U/I
ALT(GTP)는 간에 압도적으로 많이 존재하고 있는 효소입니다.
간세포가 파괴되면 혈액 속으로 흐르기 때문에, 급성간염으로 가장 강하게 상승하며 만성간염 및 지방간(비만) 등의 이유로도 상승하기 때문에 간세포장애의 지표로서 이용할 수 있습니다.
ALT(GTP)수치가 위의 참고치를 크게 웃도는 경우에는 간에 무언가 트러블이 있을 가능성이 있습니다.
AST(GOT)의 상승
기준치(참고):개23~66U/I 고양이26~43U/I
주로 간에, 그 밖에 적혈구, 심근, 골격근 및 전신의 다양한 장기 세포에 많이 포함되어 있는 효소
반감기가 매우 짧고(개는 5시간, 고양이는 1시간), 질환의 급성기(急性期) 또는 중증 시에 증가하는 것이 특징이며 간세포장애의 지표로서 이용할 수 있습니다.
AST(GOT)수치가 위의 참고치를 크게 웃도는 경우에는 간에 무언가 트러블이 있을 가능성이 있습니다.
※ ALT(GPT)와 함께 평가하는 것이 중요합니다.
γGTP(GGT)의 상승
기준치(참고):개1.2~6.4U/I 고양이1.3~5.1U/I
전신에 넓게 분포되어 있습니다만, 혈청 속의 GGT는 대부분이 간에서 유래한 것입니다. ALP와 비슷하게 변동이 있습니다만, 특히 간담도(胆膵道)질환에서 상승합니다.
γGTP(GGT)수치가 위의 참고치를 크게 웃도는 경우에는 간에 무언가 트러블이 있을 가능성이 있습니다.
알칼리포스파타아제(ALP)의 상승
기준치(참고):개20~156U/I 고양이25~93U/I
알칼리포스파타아제(ALP)는 전신에 넓게 분포하며 담도질환, 골질환, 자궁질환에서 현저하게 상승합니다. 다른 부위에 염증이 생겨도 가벼운 상승을 보입니다.
성장기에는 생리적으로 높은 수치를 보입니다.
고양이의 간ALP함유량은 개의 약 1/3정도로 적으며 반감기도 짧기 때문에(개는 72시간, 고양이는 6시간), 근소한 변화라도 진단적으로 유의미합니다,
ALP(알칼리포스파타아제)수치가 위의 참고치를 크게 웃도는 경우에는 간에 무언가 트러블이 있을 가능성이 있습니다.
ALB(알부민)의 저하
기준치(참고):개2.6~3.3g/dl 고양이2.1~3.3g/dl
ALB(알부민)은 간에서 만들어지는 단백질로 간기능, 영양상태의 지표가 됩니다.
혈청 속에는 알부민과 글로불린이라고 하는 2가지 단백질이 포함되어 있으며, 저단백혈증으로 알부민이 저하됩니다.
ALB(알부민)수치가 위의 참고치를 밑도는 경우에는 간에 무언가 트러블이 있을 가능성이 있습니다. 특히 1.8g/dl이하가 되면 위중한 영양실조상태이므로 빠른 대처가 필요합니다.
BUN의 저하
기준치(참고):개10~28mg/dl 고양이20~30mg/dl
혈액 속의 요소에 포함되는 질소분입니다. 콩팥에서 여과되어 소변으로 배출되기 때문에, 이 검사치는 콩팥의 기능 체크에는 특히 중요합니다만 간기능장애 시에도 기준치를 크게 벗어나는 경우가 있습니다.
BUN수치가 위의 참고치를 밑도는 경우에는 간에 무언가 트러블이 있을 가능성이 있습니다.
혈소판수PLT(PLAT)의 상승・감소
기준치(참고):개200~500 1000/uL 고양이300~800X10^3/µl
혈소판수는 혈액응고능의 기준이 됩니다. 또한 간경변이 진행되면 혈소판수PLT(PLAT)가 큰 폭으로 저하됩니다.
혈소판수PLT(PLAT)가 위의 참고치를 웃돌거나 밑도는 경우에는 간에 무언가 트러블이 있을 가능성이 있습니다.
암모니아(NH3)의 상승
기준치(참고):개19~120 µg/dl 고양이28.0~78.0µg/dl
암모니아(NH3)은 단백질의 이화에 의해 생성되는 대사산물입니다. 간에서 처리되기 때문에 간기능의 지표가 됩니다.
암모니아(NH3)가 위의 참고치를 웃도는 경우에는 간에 무언가 트러블이 있을 가능성이 있습니다.
![]()
프라센타12000은 아래에서 구매하실 수 있습니다.
한국 공식 수입판매원
급하신 분들은 전화로 연락하여 주시기 바랍니다. 빠르게 대응하도록 하겠습니다.









